메트로병원의 가장 큰 목표는 지역민의 건강한 삶입니다.

척추/관절/기타질환정보

전체 95건
게시물 검색

발목 관절염

발목관절염 발목이 발붓고 발목 모양의 변형이 오는 발목관절염. 무릎에도 관절염이 있듯이 발목에도 관절염이 있습니다. 하지만 무릎이 퇴행성 관절염인 것과는 달리, 발목은 외상성 관절염이 많다는 차이가있습니다. 물론 발목에도 퇴행성 관절염이나 류머티스 관절염이 흔하게 발…

최소침습수술(MICA)

최소침습수술(MICA) 어떤 수술인가?최소 2~3mm 미세한 구멍을 낸 뒤, 실시간 방사선 영상장치 보면서 특수 기계를 넣어 세밀하게 접골, 변형된 뼈를 제자리로 배치, 돌출된 일부 뼈를 다듬고, 특수 나사로 고정하는 수술입니다.최소절개, 최소통증, 최소흉터, 빠른 회…

전이성 폐암

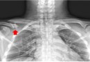
전이성 폐암 (정의)폐암은 원발성 폐암과 전이성 폐암으로 나눌 수 있는데 원발성 폐암은 폐에 발생된 암인 것에 비하여, 전이성 폐종양은 타 장기에서 발생된 악성 종양이 폐에 전이된 것을 말합니다. 그 대부분은 원격전이라고 하며 타 장기에 존재하는 종양세포가 혈류를 따라…

이물질에 의한 기도막힘

이물질에 의한 기도막힘 (정의)공기는 인후두부, 기관, 기관지 등을 거쳐 폐에 도달하게 되는데, 이러한 일련의 통로를 기도라 하고, 이것이 부분 혹은 전체적으로 폐쇄되는 것을 기도 폐쇄라 하며, 다른 말로 기도막힘(질식)이라 합니다. (원인) 기도는 이물질이나 …

위식도 역류성 질환

위식도 역류성 질환(식도입구) (정의)위와 식도 사이에는 괄약근이라고 하여 위 속의 내용물이 식도로 올라오는 것을 막아 주는 조임쇠 역할을 하는 괄약근이 있습니다. 그런데 병적 징후로서 위 내용물이 소량씩 식도로 거꾸로 올라오는 역류의 과정도 생기는데 이런 역류의 …

오목가슴

오목가슴 (정의)오목가슴은 흉곽기형 중에서 가장 흔한 것으로 앞 가슴이 움푹 들어간 흉곽기형을 일컫습니다. 우리나라에서는 아직 정확한 통계는 없지만 대략 1000명 중 1명 꼴로 발병할 것으로 추정됩니다. 원인은 아직 분명하지 않지만 하부흉골과 인접 늑골사이를 이어…

협심증

협심증 (정의)협심증은 심장에 혈액을 공급하는 혈관인 관상동맥이 동맥경화증으로 좁아져서 생기는 질환입니다. 관상동맥 내부의 동맥경화성 변화는 사실상 20대 초반부터 진행되며 혈관 면적의 70% 이상이 좁아지면 협심증 증상이 발생할 수 있습니다. 심근경색증은 관상동맥이 …

울혈성 심부전

울혈성 심부전 (정의)울혈성 심부전은 자체가 질병이라기보다는 여러 원인으로 인해 심장이 신체조직이나 기관에서 필요한 혈액(특히 산소)을 공급할 수 없는 병태생리학적 상태를 말합니다.심부전은 급성으로 나타날 수도 있고 만성으로 나타날 수도 있는데 흔히 심부전은 다른 심장…

심장 판막 질환

심장 판막 질환 (정의)사람의 심장은 서로 경계가 분명히 지워진 4개의 방(chamber)으로 구성되어 있습니다. 방과 방 사이의 혈액 소통을 위하여 적절한 개폐 작용을 해주는 문짝이 필요한데 바로 이 구조물을 판막(valve)이라 부릅니다. 결국 우리가 흔히 말하는…

심계항진

심계항진 (정의)심계항진이란 심장이 뛰는 것이 느껴져 불쾌한 기분이 드는 증상을 통틀어 말합니다. 심계항진은 운동 후나 힘든 일을 한 후에 나타나는 느낌과는 다르게 불안감이나 긴장감을 유발시키고 심하면 가슴부위의 통증과 호흡곤란을 유발합니다. (원인) 심계항진…

쇄골

쇄골 (정의)쇄골은 흉골과 견갑골을 잇는 긴뼈로 흔히 빗장뼈라고도 하며 팔을 몸통에 고정시켜주는 역할을 합니다. 이 쇄골 뼈가 외상으로 인해 부러지거나 깨지는 것을 쇄골 골절이라고 합니다. 쇄골 골절은 골절 부위 양쪽 뼈의 전위는 심하지 않고 주위 조직의 손상 없이 쇄…

폐부종

폐부종 (정의)폐부종은 질환이라기보다는 여러 가지 원인에 의해 폐정맥 및 모세혈관 내에서 폐의 간질조직과 폐포로 체액이 빠져나가면서 폐포와 기도를 침범하여 가스교환을 악화시켜 저산소증을 일으켜 심한 호흡곤란을 야기하는 상태를 말합니다. (원인) 폐부종은 심인…

폐암

폐암 (정상 폐) (폐암)(정의)폐암이란 폐에서 비정상적인 암 세포가 무절제하게 증식하여 종괴(덩어리)를 형성하고 인체에 해를 미칠 때 이를 폐암이라 합니다. 폐 내에 국한되어 발견되기도 하지만 진행되면 반대쪽…

만성 폐쇄성 폐질환

만성 폐쇄설 폐질환 (정의)만성폐쇄성폐질환은 나이가 들면서 생기고, 오랜 기간 동안 담배를 피운 사람한테 잘 발생하는 병입니다. 약어 COPD는 '만성폐쇄성폐질환(Chronic Obstructive Pulmonary Disease)' 영문표기의 앞머리 글자만을 따온 …

발목 관절염

발목 관절염 발목관절염은 외상에 의해 인대손상이나 연골 손상 후 이차적으로 발생하는 경우가 가장 많으며 통풍이나 류마티스와 같은 전신질환의 합병증으로 인해 발생하는 경우도 있습니다. 발목 관절 주위에 부종과 통증, 압통을 동반을 하며 보행 시 통증이 지속이 되는 양상을…