메트로병원의 가장 큰 목표는 지역민의 건강한 삶입니다.

인공관절센터

세계적으로 불고 있는 웰빙열풍과 함께 고령화 사회가 빠르게 진행되면서 "건강하게! 오래살기!"를 기치로 노년에 대한 관심이 높아지고 있습니다. 우리나라의 경우 노령화가 급속하게 진행되면서, 퇴행성 관절염 환자도 증가 하고 있습니다. 무릎 관절의 퇴행성 관절염이 심하게 진행된 경우에는 통증이 심하여 잘 걷지 못하게 되기 때문에 인공관절 치환술을 통해 새로운 삶을 얻을 수 있어, 그 동안 관절염으로 오래동안 고생한 환자들에게는 대표적인 치료 방법으로 인정받고 있습니다.

메트로 병원 인공관절센터에서는

  1. 수술절개 부위를 최소화 하는 최소 침습 수술
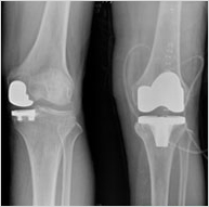
  2. 손상된 부문만 인공관절로 대체하는 부분 인공관절 치환술.
  3. 비교적 젊은 나이에도 시술이 가능한 세라믹 인공관절 치환술.
  4. 여성에서 인공관절의 결과가 좋지않은데서 착안하여 최근 개발된 여성형 인공관절.
  5. 후유증이 발생한 환자들을 위한 인공관절 재 치환술. 등을 시행하고 있습니다.
관절경 수술 - 사진

수술방법

마취는 일반적으로 척추 마취를 시행하며, 수술시간은 1시간에서 1시간 30분 정도 걸리나, 이는 환자의 무릎 상태에 따라 다릅니다. 관절의 썩거나 파괴되어진 부분을 제거하고, 특수 금속으로 된 인공관절을 양쪽 뼈에 덧 씌우고, 그 사이에 관절 연골 역할을 하는 폴리에틸렌이라 불리는 특수한 플라스틱을 삽입하여 그 사이가 매끈하게 움직이게 하는 수술입니다. 수술후에 통증이 사라지고, 정상인과 같이 생활할 수 있기 때문에 최근 급속도로 증가추세에 있는 시술입니다.

인공관절 시술 대상

저희 메트로 병원에서는 어께관절 , 팔꿈치 관절, 발목 관절등 여러 관절에서 인공관절 수술이 가능 하며, 특히 고관절(엉덩이 관절) 과 무릎 관절에 대해 많은 수술을 하고 있습니다.

수술후의 경과.

대부분 수술후 다음날 침상에서 앉기가 가능하며, 수술후 1-2일이 지나면, 관절 운동을 시작합니다. 그리고 이 시기 부터는 화장실 사용이 가능합니다. 수술후 약 6주간은 목발 사용을 권하며, 약 6-8주 후에는 일반 생활이 가능 합니다.

입원 기간

수술후 약 2주째 봉합된 실을 제거하고, 퇴원이 가능하나, 노인 환자들의 경우, 보다 충실한 재활치료를 위해 추가로 약 1-2주 정도 입원하는 경우도 있습니다.

여성 관절염, 맞춤형 여성형 인공관절로 치료!

무릎 관절염 환자의 대부분이 여성이라는 사실을 아십니까?
실제 우리나라의 통계를 보면, 전체 무릎 인공관절 수술을 시행하는 분들의 90% 이상이 여성입니다. 과거에 무릎의 인공관절을 만들때 남자와 여자의 뼈의 형태를 각기 측정한뒤 그 중간 형태로 인공관절을 만들어서 시행을 하였는데, 여성에서 기존 인공관절을 시행 했을때, 인공관절이 옆으로 돌출 되면서 무릎 주위의 인대나 근육에 부딪쳐 잔류 통증을 일으키는 경우가 있어왔는데, 이 를 획기적으로 개선한 것이 여성형 인공관절입니다. 이러한 여성형 인공 관절의 개발은 최근 인공관절 분야에 나타난 발전 중에 하나로, 이런 발전은 여성 환자들의 수술 결과를 개선시켜 수술 후 삶의 질을 향상 시킬 것입니다.

치료법에 대한 부작용

  • 감염, 슬관절운동제한, 마모와 해리, 혈전(지방색전증등), 혈종, 슬개골 합병증, 이소성 골화, 골절, 출혈, 구획증후군, 삼출, 내과적 기능저하