메트로병원의 가장 큰 목표는 지역민의 건강한 삶입니다.

척추/관절/기타질환정보

전체 95건
게시물 검색

요추염좌

정의 요통을 호소하는 환자의 대부분이 요추염좌이다. 요통을 광범위하게 부르는 말이며, 흔히 무거운 물건을 들어올리려고 할 때 순간 허리를 삐끗해서 움직일 수 없게 된 경우이다. 요추 염좌는 흔히 일어나는 일이지만 단순히 근육이 손상된 경우부터 인대가 손…

오십견이란

유착성 관절낭염으로도 불리우는 오십견은 어깨부위의 노화로인해, 부상등으로 인해 어깨통증과 함께 운동제한이 생기는 경우를 말합니다. 30대 이상에게서 많이 발병하며 특히 50대에 높은발병률을 보이고 있습니다. 오십견 원인 *어깨 주변 조직의 노화 …

어깨의 탈구

견관절 재발성 탈구란? 격렬한 운동이나 외상으로 인하여 어깨가 빠지게 되면 어깨 전하방의 인대가 늘어나거나 파열이 발생하게 되면서 반복적으로 관절의 이완이나 탈구가 발생하게 되는 병입니다. 젊은 연령에서 어깨가 빠지게 되면 60~70%에서 탈구가 재발하게 되고 또…

어깨 탈구의 치료

견관절 탈구가 반복적으로 발생하게 되면 관절 주변의 인대가 늘어나고 주변의 인대에도 손상을 가져올 수 있으므로 수술적 봉합술이 필요합니다. 일반적으로 관절경 수술로 치료가 가능하며 파열된 관절 와순을 봉합해주고 늘어난 관절낭을 복원하게 됩니다. 수술 후 관리 및…

십자인대파열

십자인대란, 무릎 뒷쪽 구조물증 무릎의 앞뒤 움직임을 관장하는 엑스(X)자 모양의 전방십자인대와 후방십자인대를 말합니다. 이 십자인대들은 뼈의 이탈을 방지하고 무릎회전의 안정성을 확보하는 역할을 합니다. 십자인대 파열은 말 그대로 전방십자인대나 후방십자인대가 …

신경공협착증이란

신경공 협착증은 나이가들면서 발생하는 척추의 퇴행성 질환중 하나로 척추관 협착증이 중요한 척수신경이 자나가능 중심척추관이 좁아져서 발생한다면 신경공협착증은 중심 척추관을 빠져 나와 팔이나 다리로 가능 신경이 지나가는 길인 신경고 부위가 좁아져서 신경이 눌리게 되어 …

신경 성형술

국소마취하에 꼬리뼈나 목 뒤쪽의 신경공을 통하여 경막외강으로 특수바늘(카테터)을 삽입 원하는 부위에 도달하면 약물을 주입해 통증을 일으키는 염증을 가라앉히고 유착된 부위를 박리할 수 있는 치료법입니다. 일반적으로 목과 허리의 추간판 탈출증(디스크) 환자와 척추관 협착…

슬개골 탈구

슬개골 탈구란, 슬개골이 정상적인 위치인 대퇴골 활차 부위로부터 이탈되어 빠져나오는 것을 가리킵니다. 슬개골 탈구의 원인은 크게 기존에 해부학적인 이상이 없던 정상적인 무릎에 강력한 외상이 원인이 되어 발생한 탈구와 기존에 해부학적인 이상으로 인하여 일상적인 동작이나 …

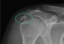
석회화 건염

어깨 힘줄에 석회가 생기는 질환으로 일단 석회가 생기면 통증이 대단히 심한 것이 특징입니다. 통증이 심해서 밤에 잠을 이룰 수 없는 정도로 돌의 크기는 갖가지 모양으로 다양합니다. 여러 개가 한꺼번에 생기는 경우도 있으며 발생원인은 힘줄에 퇴행성 손상이 생기고 …

반원상 연골 손상

반월상연골판은 대퇴골과 경골 사이에 위치하는 조직으로 체중을 전달하고 충격을 흡수하고 관절을 안정시키며 관절연골을 보호하는 역할을 하게됩니다. 내측 및 외측 반월상 연골판으로 이루어지는데 내측 연골판은 외측보다 반경이 큰 C자 모양으로 되어 있고 외측에 비해…

무릎의 구조

무릎(관절)은 크게 뼈, 인대, 연골판 3가지로 구성되어 있습니다. 무릎 뼈는 무릎을 지탱해주는 기본적인 골격 근육과 힘줄(뼈와 뼈를 지탱) 양측 인대(무릎이 꺾기는 것을 방지) 무릎의 해부학적 구조와 특징 무릎(관절)은 크게 뼈, 인대, 연골판 …

대상포진

수두-대상포진바이러스(varicella-zoster virus, VZV)가 소아기에 수두를 일으킨 뒤 신경 주위에서 무증상으로 남아 있다가 VZV에 대한 면역력이 떨어지면 신경을 타고 나와 피부에 발진이 생기면서 심한 통증을 유발하는 질병입니다. 원인 *스…

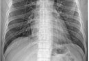
늑골골절

갈비뼈(rib,늑골)는 아래와 같이 12개가 양쪽으로 있으며, 뒤쪽 흉추(thoracic spine)부터 앞쪽 흉골(sternum)과 연골에 붙어있습니다. 원인​​ 대부분는 부딪히거나, 직접적으로 맞아서 골절이 생기게 되며, 드물게 기침을 심하게 하거나, 골…

늑간 신경통

갈비뼈 사이로 지나가는 늑간 신경에 이상이 생겨 등부 터 시작하여 갈비뼈 부의를 지나 가슴 앞쪽까지 통증이 발생하는 질환이다. 대개 오른쪽이나 왼쪽중 한쪽으로 아픈 경우가 많으나 환자에 따라 양쪽이 동시에 아픈 경우도 있습니다. 원인 …

관절와순파열

어깨 관절 주변의 날개뼈를 둘러싸고 있는 섬유연골조직을 말하며 상완골이 어깨뼈에서 이탈하지 않도록 잡아주는 역할을 합니다. 이 연골판이 찢어져 관절에서 떨어져 나오는 것을 관절 와순 손상이라고 하며 주로 활동성이 강한 분들에게 발생하는 경우가 많습니다. 또한 어깨 탈구…