메트로병원의 가장 큰 목표는 지역민의 건강한 삶입니다.

척추/관절/기타질환정보

발목 관절염

관련신체부위
관련진료센터 족부센터

본문

 

발목관절염 

발목이 발붓고 발목 모양의 변형이 오는 발목관절염. 

무릎에도 관절염이 있듯이 발목에도 관절염이 있습니다. 하지만 무릎이 퇴행성 관절염인 것과는 달리, 발목은 외상성 관절염이 많다는 차이가있습니다. 물론 발목에도 퇴행성 관절염이나 류머티스 관절염이 흔하게 발생합니다. 그러나, 발목 염좌나 발목 부위 골절의 후유증으로연골손상이 진행되는 경우에는 외상성 관절염이 발생합니다. 

 

962bc4b96cf29f237617e9533de996d2_1674624368_9696.png
962bc4b96cf29f237617e9533de996d2_1674624405_3775.png
962bc4b96cf29f237617e9533de996d2_1674624419_074.png
962bc4b96cf29f237617e9533de996d2_1674624445_5208.png

ee27440a4fd302e7ce5cf57c80a02d72_1675749055_8829.png

962bc4b96cf29f237617e9533de996d2_1674624488_356.png
962bc4b96cf29f237617e9533de996d2_1674624499_9188.png
962bc4b96cf29f237617e9533de996d2_1674624510_0151.png
962bc4b96cf29f237617e9533de996d2_1674624663_4635.png
962bc4b96cf29f237617e9533de996d2_1674624669_2996.png
ee27440a4fd302e7ce5cf57c80a02d72_1675749302_8032.png
ee27440a4fd302e7ce5cf57c80a02d72_1675749312_2425.png
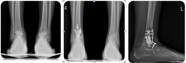
                                     SMO 교정 수술 전 후 사진
ee27440a4fd302e7ce5cf57c80a02d72_1675749464_9175.png
ee27440a4fd302e7ce5cf57c80a02d72_1675749478_9131.png
ee27440a4fd302e7ce5cf57c80a02d72_1675749785_1169.png
ee27440a4fd302e7ce5cf57c80a02d72_1675749857_0148.png


ee27440a4fd302e7ce5cf57c80a02d72_1675750744_5394.png

      유합술 수술 전 후, 옆모습 사진

ee27440a4fd302e7ce5cf57c80a02d72_1675750867_1494.png

ee27440a4fd302e7ce5cf57c80a02d72_1675750877_8406.png

ee27440a4fd302e7ce5cf57c80a02d72_1675750933_6209.png

ee27440a4fd302e7ce5cf57c80a02d72_1675750977_3524.png
인공관절 치환술 수술 전 후 사진