메트로병원의 가장 큰 목표는 지역민의 건강한 삶입니다.

질병/건강정보

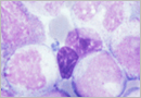
만성골수성백혈병

만성골수성백혈병은 골수구계 세포가 백혈구를 만드는 과정에서 생긴 악성 혈액질환입니다.

급성림프구성백혈병

급성림프구성백혈병은 림프구계 백혈구가 악성 세포로 변하여 골수에서 증식하고 말초 혈액으로 퍼지는데 간, 비장, 림프계, 대뇌, 소뇌, 척수 등을 침범하는 질병입니다.

다발골수종

다발성 골수종은 골수에서 항체를 생산하는 백혈구의 한 종류인 형질세포(Plasma Cell)가 비정상적으로 증식하는 혈액질환으로 특히 뼈를 침윤하는 것이 특징이고 면역장애, 조혈장애 및 신장장애를 일으키는 치명적인 질환입니다.

난소고환증(진성반음양)

희귀병인 난소고환증은 자웅동체라고 알려진 성적발달장애(Disorders of sex development, DSD)의 한 종류로 난소고환증 환자들은 여성의 생식샘인 난소조직과 남성의 생식샘인 고환조직을 모두 가지고 있습니다.

넬슨 증후군

넬슨 증후군은 비정상적인 호르몬의 분비, 뇌하수체의 비대, 선종이 특징적으로 나타나는 질환입니다.

니아신 결핍증

니아신(비타민 B3) 결핍증은 조직 내의 니아신이나 그 전구체인 트립토판(Tryptophan)이 부족하여 여러 기관에 병변을 나타내는 영양 장애에 의한 질환으로 피부염, 설사, 치매와 치료하지 않는 경우에는 사망을 초래하는 특징이 있습니다.

다발성 경화증

다발성 경화증은 뇌, 척수, 그리고 시신경을 포함하는 중추신경계에 발생하는 만성 신경면역계질환입니다. 이 질환의 원인은 정확하게 알려지지는 않았지만 신경을 둘러싸고 있는 수초가 손상되어 신경자극의 전달이 방해되어 나타난다고 추정됩니다.

단풍시럽뇨병

단풍당밀뇨병(단풍시럽뇨병: Maple-syrup urine disease)은 필수 아미노산인 류신(Leuicine), 이소류신(Isoleuicine), 그리고 발린(Valine)의 대사 장애로 나타나는 질환으로 땀과 소변, 귀지 등에서 특유의 단 냄새가 나는 것이 특징입니다.

심부정맥혈전증

우리 몸의 피는 심장에서 동맥, 정맥을 거쳐 다시 심장으로 돌아오는데 심장의 박동으로 신체의 각 부분으로 산소가 많은 피를 보내는 혈관을 동맥이라 하고, 몸을 돈 후 노폐물과 이산화탄소가 많은 피가 심장으로 되돌아오는 혈관을 정맥이라고 합니다.

라스무센 뇌염

라스무센 뇌염은 중추 신경계의 희귀 질환으로 대뇌의 반구에 만성 염증(뇌염)이 특징입니다. 결과적으로 환자들은 뇌의 통제되지 않은 전기적 장애로 빈번한 경련발작이 있습니다.