메트로병원의 가장 큰 목표는 지역민의 건강한 삶입니다.

질병/건강정보

선천성 척추측만증_반척추증

선천성 척추측만증은 척추가 생길 때의 이상으로 인하여 발생하는 척추의 측만을 동반한 기형입니다. 선천성 척추측만증 또는 선천성 후측만증은 매우 다양한 임상경과를 보입니다.

스티븐존슨증후군과 독성표피괴사용해

스티븐존슨증후군(SJS)과 독성 표피괴사용해(TEN)는 대부분 약물에 의해 발생하고, 급성으로 나타나는 심한 피부 점막 반응으로 드문 질환입니다.

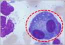
만성림프구성백혈병

만성림프구성백혈병은 다른 백혈병들처럼 조혈세포들의 분화 단계에서 미성숙 단계에서 악성화된 것이 아니라 성숙단계의 B 세포로부터 악성화된 종양이다. 말초혈액에서 백혈병 세포의 수적 증가와 함께 전신의 분포되어 있는 림프절에서 고형화된 덩어리가(종괴)를 형성한다.

유방종괴

유방종괴는 유방에 생긴 모든 덩어리(혹)를 뜻하며, 유방 관련 문제로 병원을 찾는 가장 흔한 증상입니다. 약 80% 는 환자 자신이 우연히 종괴를 발견하고, 나머지 20%는 검진이나 진료를 통해 발견됩니다. 우리나라는 상대적으로 젊은 연령층에서 유방암 발생률이 높기 때문에 여성 스스로 매달 자가 진찰을 하는 것이 중요합니다. 자가 진찰 또는 검진을 통해 유방종괴가 발견되면 원인 질환 감별을 위해 진료를 받아야 합니다.

배뇨관련 이상 증상

비뇨기계 기관이란 소변을 만들고, 저장하고 배설시키는 기관으로 콩팥, 요관, 방광, 요도가 이에 해당됩니다. 남녀 모두 이 네 가지 기관을 가지고 있지만 남성에서는 방광과 요도사이에 정액의 생산을 담당하는 전립선이 위치하며, 여성에서는 방광과 직장 사이에 자궁이 위치하는 차이가 있습니다.

렙토스피라증

렙토스피라증은 렙토스피라 균에 감염되어 발생하는 급성 열성 전신성 질환입니다. 매년 세계적으로 수백만 명의 환자가 발생하고 있고, 사람과 동물이 감염되는 가장 흔한 인수공통전염병의 하나입니다.

어지럼증

전정기관은 우리 몸이 균형을 잡을 수 있도록 도와주는 역할을 하는 기관입니다. 전정기관은 세 개의 반고리관, 전정, 전정미로, 전정신경절을 포함한 전정신경으로 구성됩니다. 전정미로는 골성 미로와 막성 미로로 구성되며, 막성 미로와 골성 미로 사이는 외림프, 막성 미로 내부는 내림프로 차 있습니다.

뇌종양

뇌종양이란 두개골 내에 생기는 모든 종양을 말하며 뇌 및 뇌 주변 구조물에서 발생하는 모든 종양을 포함하여 말합니다.

골수 형성이상 증후군

골수형성이상증후군은 백혈병과 마찬가지로 골수에서 발생하며 골수 에서 발생한 비정상적 세포들로 인해 말초 혈액에서 백혈구, 적혈구, 혈소판이 감소하게 됩니다.

담관의 폐쇄

담관의 폐쇄는 위장관계에 발생하는 희귀질환으로 간으로부터 담낭으로 담즙을 운반하여 소장으로 분비하는 담즙의 통로인 담관의 일부분 또는 모두가 없거나 파괴되는 것을 특징으로 하는 질환입니다.