메트로병원의 가장 큰 목표는 지역민의 건강한 삶입니다.

질병/건강정보

불면증

수면은 우리 삶의 큰 비중을 차지하는 건강의 중요한 영역입니다. 불면증(수면장애)은 잠들기가 어려운 입면 장애와 잠은 들지만 자는 도중 자주 깨거나 너무 일찍 잠에서 깨어나는 수면유지 장애를 뜻합니다. 밤에 충분히 잠을 자지 못하면 수면 부족 상태가 되어 낮 동안 졸음, 피로감, 의욕 상실 등을 초래해 일상생활에 지장을 주고, 삶의 질을 떨어뜨립니다. 우리나라 20세 이상 성인 500명을 대상으로 한 한국보건사회연구원의 연구 결과에 의하면, 지난 한 달간 불면증을 경험한 적이 있다고 응답한 비율이 73.4%로 매우 높게 조사되었습니다.

교모세포종

교모세포종은 4등급의 성상세포종(별세포종)으로 성상세포종 중에서 가장 악성이며 조직학적으로는 역형성 성상세포종에 괴사소견이 추가된 것입니다. 이 종양은 가장 흔한 악성 원발성 뇌종양으로 성인 신경교종의 1/4, 소아 신경교종의 15%를 차지하며 소뇌에 발생하는 경우는 흔치 않은 것으로 보고되고 있습니다

요도암

요도에 발생하는 암으로, 크게 방광과 음경을 포함하는 다른 요로생식기 암에 대한 과거력이 없으면서 요도에 처음 발생한 원발성 요도암과 방광암 등의 요로생식기암이 요도에 재발한 재발성 요도암으로 나눕니다.

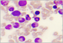
소아백혈병

소아암은 성인암과 달리 인종과 국가에 관계없이 일정한 비율 즉 10만명 당 10~15명 정도로 발생하고 있습니다.

손떨림(수전증)

생리적 진전 혹은 떨림과 다르게 우리 몸의 특정 근육 둔 특히 손끝이나 손가락, 혀, 성대, 턱 등이 떠는 경우가 있는데(이 경우 깨어 있는 동안에만 나옴) 이것이 우리가 보통 이야기하는 떨림, 진전입니다.

흉통

급성 흉통은 급성관상동맥증후군(관상동맥의 순환이 원활하지 않은 질환), 대동맥박리(대동맥 혈관벽이 내벽과 외벽으로 나뉨)처럼 생명을 위협하는 치명적인 중증응급질환에서부터 유사한 임상양상을 보이나 응급질환이 아닌 경우까지 다양한 질환들에 의해 나타날 수 있습니다.

무베타 지질단백혈증(Abetalipoproteinemia)

무베타지질단백혈증(Abetalipoproteinemia)은 미세소체 중성지방 운반단백질(microsomal triglyceride transfer protein; MTP)의 이상으로 장에서의 지방 및 지용성 비타민 흡수에 장애를 유발하는 선천성 대사 장애입니다.

질분비물

질 분비물은 일반적으로‘냉’이라고 부르며, 모든 여성에서 나타나는 정상적인 생리 현상입니다. 질 분비물은 질이나 외음부의 피부가 외부 마찰로 인해 손상되는 것을 방지합니다. 또한 질 내부에 상재균이 안정적으로 자라서, 질 내부 환경을 산성으로 유지하여 외부 병원균이 번식하지 못하도록 합니다. 이와 같은 정상적인 질 분비물은 투명하거나 희뿌연 색으로 냄새가 없습니다. 하지만 분비물의 양이 많거나, 불쾌한 냄새가 나고, 가려운 증상이 함께 있으면 병적인 질 분비물이며, 보통 질염에 의해 유발됩니다. 질염에는 세균성 질염, 칸디다성 질염, 트리코모나스 질염, 위축성 질염과 염증성 질염 등이 있으며, 치료가 필요합니다.

색소망막염

망막색소병증은 신경망막과 망막색소상피세포에 색소가 쌓이면서 점차 망막이 손상되는 유전질환으로, 시각세포가 손상됨에 따라 점차적으로 시야가 좁아지고 결국 시력을 잃게 됩니다.

열은 정상적인 체온보다 높은 상태로서, 많은 사람들이 경험하는 흔한 증상입니다. 주관적인 열감이 아닌, 직접 체온을 측정한 후에 진단할 수 있습니다. 체온은 하루의 시간에 따라 조금씩 변하는데, 오전 6시에 가장 낮고 오후 4시에서 6시 사이에 제일 높습니다.